Jak poznáte, že máte zánět dásní?
- zarudnutí
- otok
- krvácivost
- zápach z úst (halitosis).
Součástí vyšetření dentální hygieny je:
- změření hloubky parodontálních chobotů
- stanovení krvácení dásní a rozsahu povlaku, zubního kamene, zánětu a viklavosti zubů.
Pravidelná opakovaná návštěva dentální hygieny (recall)
Pacient dochází po úvodní fázi dentální hygieny na pravidelné kontroly, které slouží jako prevence recidivy onemocnění. Frekvenci těchto návštěv dentální hygieny stanovuje dentální hygienistka individuálně většinou po 3 měsících.
Fáze:
- vstupní komplexní vyšetření (anamnéza, stav chrupu, úroveň ústní hygieny, parodontologické vyšetření, zhodnocení stavu parodontu a měkkých tkání, krvácení z dásní)
- stanovení léčebného plánu
- instruktáž ústní hygieny, její nácvik na modelu a následně přímo v ústech, doporučení správných pomůcek pro domácí péči
- odstranění zubního kamene ručními nástroji (kyretami) a ultrazvukem
- profesionální čištění zubů, odstranění pigmentací (skvrny od kávy, čaje, cigaret apod.) a leštění zubů – depurace, Air-Flow (pískování)
- léčba parodontózy
- lokální fluoridace zubů u dětí i dospělých
- ošetření citlivých krčků a klínovitých defektů speciálními laky
- pečetění fissur (preventivní výplně)
- úprava převislých výplní
- bělení zubů
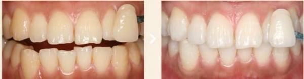
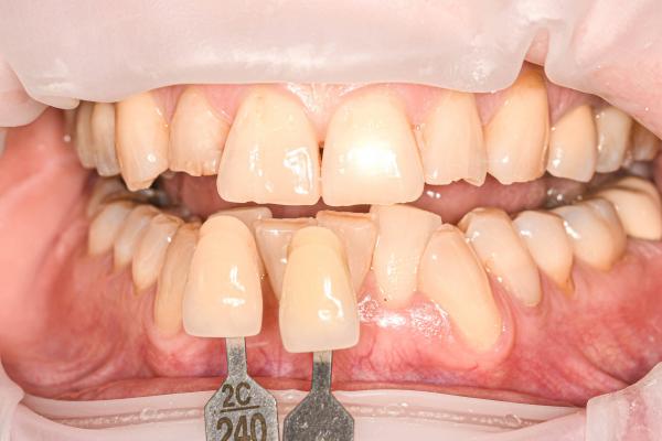
Bělení zubů
Bělení zubů označuje metody, kterými se z estetických důvodů upravují zuby tak, aby jejich barva byla bělejší.
Nikdy nelze předem určit, jakého stupně zesvětlení se bělením dosáhne a jak dlouho to bude trvat. Výsledek je závislý na stupni a typu zabarvení zubů. Nejpomaleji se zuby zesvětlují u kuřáků a u lidí, kteří mají zuby poškozené užíváním tetracyklinových antibiotik.
Bělení je bezpečné, pokud jsou zuby a dásně zdravé a provádí se pod odborným dohledem. Před každým bělením je nutné, aby měl pacient ošetřeny všechny kazy a nevyhovující výplně a aby měl odstraněn zubní kámen.
Existují dvě metody bělení zubů - domácí a ordinační.
Domácí bělení
Pro domácí bělení je nutné zhotovit nosiče, do kterých se bude následně aplikovat bělící gel. Prvním krokem je tedy sejmutí otisků obou čelistí, díky nimž se mohou vyrobit správně sedící nosiče.
Nosiče s gelem se nosí několik hodin během dne nebo se nasazují na noc. Záleží na druhu a koncentraci gelu. Bělící proces trvá několik dní, záleží na původním zabarvení zubů. Během této doby a 3 dny po ukončení bělení, kdy se ustaluje konečný odstín zubů, pacient nesmí kouřit, pít kávu, čaj, červené víno a jiné barevné nápoje ani konzumovat potraviny s výraznými pigmenty (např. kečup, sójová omáčka, červená paprika, mrkev apod.).
Před každou aplikací bělícího gelu je nutné si důkladně vyčistit zuby kartáčkem a mezizubní prostory mezizubním kartáčkem nebo nití.
Je lepší používat spíše méně gelu a pokud přeteče z nosiče, je nutné ho okamžitě odstranit. Jinak hrozí poškození dásně.
Ordinační bělení
Ordinační bělení se provádí přímo v ordinaci a trvá cca 2 hodiny. Tento typ bělení zaručuje okamžitý výsledek. Nejprve zubní lékař důkladně očistí zuby rotačním kartáčkem a leštící pastou. Poté izoluje dásně speciálním gelem, který je chrání. Následuje aplikace bělícího gelu na povrch zubů. Gel se na zubech ponechá několik minut a svítí se speciální lampou pro aktivaci bělícího gelu, poté se opláchne vodou a tento postup se několikrát opakuje. Na závěr jsou zuby fluoridovány.
Důležitá upozornění:
- Po každém bělení je nutná kvalitní domácí dentální hygiena. Jen tak je možné si udržet dosažený odstín co nejdéle.
- Bělení může někdy způsobit zvýšenou citlivost zubů a podráždění dásní (např.dočasná citlivost na horké či studené). Jedná se o přechodný stav trvající zpravidla několik dní. Pokud se zvýšená citlivost dostaví, pomůže aplikace fluoridového preparátu (např. Elmex Gelée), které jsou volně dostupné v lékarně.
- Krátce po bělení je vhodné se vyvarovat konzumaci kyselých potravin (ovoce, dresingy v salátech, jogurty) a kyselých nápojů (víno, džus), aby se snížila pravděpodobnost zvýšené citlivosti zubů po bělení.
- Při bělení se nemění barva bílých výplní ani korunek či můstků, je tedy vhodné bělení provést před jejich zhotovením.
- Největším zlem pro bílé zuby je kouření, káva, čaj, červené víno.
- Dosažený výsledek přetrvá i několik let, zuby se však vlivem barevných látek v potravě nebo kvůli kouření mohou opět zabarvovat.
 
                 
                                